The best practices in NYC for dental implants.
Finding the right dental implants dentist is one of the most important steps you can take when considering dental implants. Because implants are a long-term solution designed to look, feel, and function like natural teeth, choosing a qualified and experienced professional can make a significant difference in both the outcome and your overall experience.
The first thing to look for in a dental implants dentist is proper training and credentials. Dental implants require advanced knowledge of oral surgery, bone health, and restorative dentistry. Many implant dentists pursue additional education beyond dental school, including certifications from organizations such as the American Academy of Implant Dentistry or extensive postgraduate training in implantology. Don’t hesitate to ask about a dentist’s education, years of experience, and how many implant procedures they perform each year.
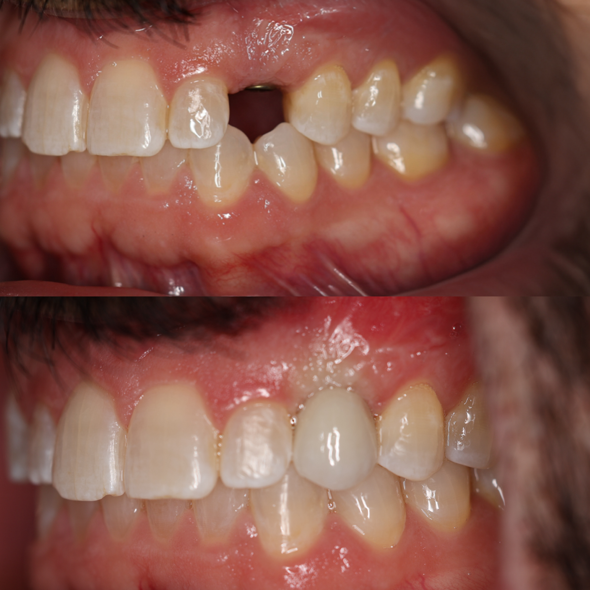
Experience matters greatly when it comes to dental implants. A dentist who regularly places implants is more likely to recognize potential complications early and manage them effectively. Ask to see before-and-after photos of previous implant cases and inquire about success rates. An experienced dental implants dentist should be comfortable treating a range of cases, from single-tooth implants to full-arch restorations, and be able to explain which option is best for your specific needs.
Dr. Irina Kessler, a dentist on the upper east side is the partner in New York Family Dental Arts and provides many dental implants in NYC to patients looking to regain their smile and replace missing teeth: " We are able to do anything from single or multiple dental implants to all-on-4 or all-on-5. The results when people smile after are always amazing."
Technology is another key factor to consider. Modern implant dentistry relies heavily on advanced imaging and digital planning tools. A reputable dental implants dentist will often use 3D cone beam CT scans to evaluate bone density, nerve placement, and sinus position before surgery. Digital impressions and guided implant placement can increase precision, improve comfort, and shorten recovery times. A practice that invests in up-to-date technology is often committed to higher standards of care.
Dr. Malafis is a dentist in Astoria and provides dental implants in Astoria to patients looking to replace missing teeth. The practice offers bone grafts, and has a CBCT Scanner (Cone Beam Computed Tomography) to allow for the better placement of implants: "Our CBCT scanner produces a 3D image of the jawbone, nerves, sinuses, and surrounding structures and allows the precise measurement of bone height, width, and density. It is extremely helpful and helps avoid nerve injury, sinus perforation and improper implant placement."
Communication and treatment planning are equally important. A good dental implants dentist should take time to thoroughly explain the procedure, timeline, costs, and expected results. They should discuss alternatives, such as bridges or dentures, and clearly outline why implants may be the best option for you. Transparency about healing time, potential risks, and maintenance requirements helps you make an informed decision and feel confident moving forward.
Patient comfort and support should not be overlooked. Dental implant procedures can involve surgery, so it’s important to choose a dentist who prioritizes comfort and offers appropriate sedation or pain-management options. Reading patient reviews can provide insight into how a dental implants dentist treats patients, handles concerns, and supports them throughout the healing process.
Dr. Ahmed Hedayti is the Yonkers periodontist at Central Smile Studio where Dr. Joseph Danial is the Yonkers dentist that manages and owns the practice: "Here we have the luxury of a periodontist in our practice - Dr Hedayti who has placed many implants in many of our patients. Having a periodontist is a great asset to our practice as periodontal disease can be managed effectively and when they receive implants the recieve the crowns at the same location. This is easier for us and very easy for the patient. We have placed many crowns for patients looking for dental implants in Yonkers."
Finally, consider long-term care and follow-up. Dental implants require proper maintenance to last a lifetime. A reliable dental implants dentist will provide clear aftercare instructions, schedule follow-up visits, and work closely with you to protect your investment in your oral health.
An ideal candidate for dental implants is someone who has lost one or more teeth and is in overall good oral and general health. More specifically, dentists look at several key factors when determining whether implants are appropriate:
1. Good Overall Health
Dental implant placement is a minor surgical procedure, so candidates should be healthy enough to heal properly. Chronic conditions such as uncontrolled diabetes, autoimmune disorders, or bleeding disorders don’t automatically disqualify someone, but they do need to be well managed. Smoking is a major risk factor, as it significantly increases implant failure rates.
2. Healthy Gums
Strong, healthy gums are essential because dental implants rely on the surrounding soft tissue for long-term stability. Patients with untreated periodontal (gum) disease are typically not good candidates until the disease is controlled, as infection can compromise the implant.
3. Adequate Jawbone Density
Dental implants need sufficient bone to anchor securely. Candidates should have enough jawbone volume and density at the implant site. If bone loss has occurred due to long-term tooth loss or gum disease, bone grafting may still make implants possible.
4. Good Oral Hygiene Habits
Ideal candidates are committed to maintaining excellent oral hygiene, including daily brushing, flossing, and regular dental visits. Implants can fail if plaque and bacteria are allowed to accumulate around them, leading to peri-implantitis (implant-related gum disease).
5. Non-Growing Jaw (Adults)
Dental implants are best suited for adults whose jawbones have fully developed. Younger patients whose jaws are still growing are usually advised to wait, as continued growth can affect implant positioning and stability.
6. Realistic Expectations
Candidates should understand that implants are a long-term solution that requires time, planning, and healing. While implants look and function like natural teeth, the process can take several months from start to finish.
Who May Need Additional Evaluation
People who grind their teeth heavily (bruxism), smoke, or have a history of radiation therapy to the jaw may still be candidates, but they require careful evaluation and customized treatment planning.
In summary, the ideal candidate for dental implants is a healthy adult with good oral hygiene, healthy gums, sufficient jawbone, and a commitment to long-term dental care.
By carefully evaluating credentials, experience, technology, communication style, and patient care, you can confidently choose a dental implants dentist who will deliver safe, reliable, and lasting results.
